Rivista di formazione e aggiornamento di pediatri e medici operanti sul territorio e in ospedale. Fondata nel 1982, in collaborazione con l'Associazione Culturale Pediatri
Medico e Bambino ISSN 2724-6795
Febbraio 2026
Editoriali
Case della Comunità 2026: la sfida della Pediatria tra sanità, sociale e territorio
Marchetti F.
Una vera “Casa” si costruisce attraverso modelli di lavoro, integrazione tra professionisti, capacità di rispondere ai bisogni reali dei bambini e delle loro famiglie.
La pagina gialla
a cura di Sara LegaRagazzi coi muscoli
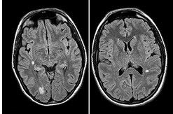
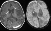
Un enzima oltre la barriera (ematoencefalica)
Una epatite smidollata
Rotondità
Invaginazione e analgosedazione: mai senza!
Neutropenia autoimmune: tranquilli ma attenti
Le Giornate di Medico e Bambino
Il graffio
a cura di Alessandro Ventura
La speranza e il mestiere del medico
Lettere
Quando l’informazione scientifica non deve essere complice del potere
Cappellucci D, Marchetti F.
News box
a cura di Federico Marchetti
Acido folinico, autismo e comunicazione scientifica: derive e responsabilità etica
Una riflessione sul rapporto tra evidenze scientifiche, pratica clinica e comunicazione pubblica nel dibattito sull’autismo e sui trattamenti farmacologici non validati e rischi non dimostrati.
Binomi
a cura di Alessandro Ventura
Thomas, 3 mesi: stitico e… inespressivo…
Pediatria narrativa
Le pere sono pere, le mele sono mele…
Barabino A.
Una lattante complessa con una diarrea intrattabile.
Problemi speciali
La pitiriasi lichenoide in età pediatrica
Zago A, Mazzola S, Calligaris L, Berti I.
Si esplorano le attuali ipotesi patogenetiche e le strategie terapeutiche di elezione.
Protocolli di diagnosi e terapia
Anafilassi nel bambino e nell’adulto
Elefante G, De Toro G, Gallo Afflitto I, Veneruso D, Quarantiello F, Furcolo G.
Una guida pratica e immediata, in figure e tabelle, sulla diagnosi e gli elementi semplici ed essenziali di terapia.
Protocolli di diagnosi e terapia
Schema sinottico per l’intervento in emergenza di anafilassi nel bambino e nell’adulto
Articolo speciale
Malocclusioni in età pediatrica
Ravaglia A, Defabianis P, Borraccino A.
Il lavoro propone una sintesi della situazione epidemiologica e una revisione delle competenze utili che dovrebbe avere il pediatra (cosa valutare e quando).
Neonatologia
Un approccio clinico all’ipotono neonatale attraverso i casi
Castaldo B, Cossovel F, Starc M, Bua J, Travan L.
Una guida semplice sui segni clinici dell’ipotono, sulle ipotesi di diagnosi e sugli esami essenziali da non dimenticare. Può essere la manifestazione di varie condizioni, alcune gravi.
Se la conosci la riconosci
La sindrome di Malan
Ramazzotti S, Nuvoli V, Baldo F.
“Alto e con la testa grande, non è che s’iperaccresce?” .
Osservatorio
a cura di Giorgio TamburliniViolenza giovanile: epidemiologia e fattori predisponenti
Casi indimenticabili
Disidratazione, iponatriemia e iperkaliemia: uno pseudoipoaldosteronismo transitorio fuori dal comune
Lorefice A, Cozzolino M, Cocchi E, Bruno I, Dianori F, Graziani G, Piccinini G, Marchetti F.
Casi indimenticabili
Quando lo scroto si gonfia... e poi ci ripensa: uno strano caso di edema scrotale
Mosole L.
Casi contributivi
Uno stridore persistente in un lattante
Ippoliti A, Lovati C.
La diagnosi differenziale dello stridore che persiste deve essere guidata in primis dall’età del paziente. Ogni età ha le sue principali cause.
Domande e risposte
a cura di Giorgio LongoDesametasone, dosaggio massimo
Dermo quiz
a cura di Laura Badina e Irene Berti
Impetigine, eczema coxsackium o varicella?
Oltre lo specchio
I rapporti fra mente e corpo: un problema aperto
(Prima parte)
Merlo M.
Una riflessione su un nodo teorico e clinico tuttora irrisolto, centrale per la medicina contemporanea.
Bianca blob
a cura di Paola RodariMaranza in città
Maranza in politica
M&B pagine elettroniche ISSN 2704-8268
Febbraio 2026
Caso contributivo
Cardiopatia ipertrofica ostruttiva transitoria indotta da steroide: un caso oltre l'età neonatale
- La Malfa G, Barbera G, Saia GF, Cardillo M, Scardino G, Sanfilippo MF, Comparato C
Lesioni cutanee atipiche nel lattante: quando approfondire?
- Iannicelli A, Giagnuolo G, Tessitore M, Uva A, Martemucci L, Menna G
Casi indimenticabili
Dolore addominale e stipsi funzionale: non sempre tutto coincide
- Galli L, Bernardini R, Lo Piccolo R, Allegro M
Lussazione atlanto-epistrofea e sindrome di Down: un binomio da non dimenticare
- Merli G, Marino S, Mannarà UM, Certo F, Millesoli MS, Migliore A, Testaì MA, Berto VM, La Spina M
L’indizio nel rene, la chiave negli occhi
- Gulisano C, Lugani F, De Benedetti E, Chiarenza DS, Verrina EE
I Poster degli specializzandi
La tosse che faceva... tic: quando il sintomo inganna il pediatra
- Falcone M, Fioretto A, Fiorenza G, Esposito S
Artrite e osteomielite in età pediatrica: un esordio insidioso di drepanocitosi?
- Di Marcoberardino F, Camelli V, Filice E, Stera G, De Agostini M, Mengozzi E, Guerra L, Ghizzi C
Non un semplice stridor
- Rossi D, Sadou Y, Gilardi C
Dietro le quinte dell’otite media acuta
- Piccinin G, Cattarossi A, Marzari L, Servidio AG, Andrare S

